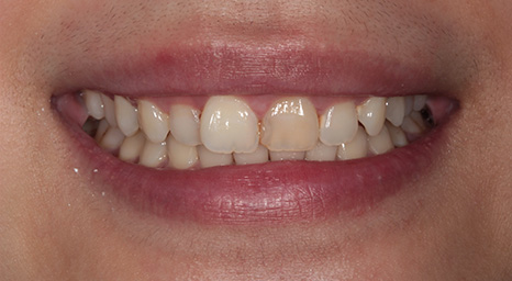
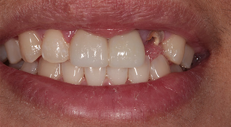
Explore our collection of real patient transformations. From subtle enhancements to dramatic smile makeovers, each photo reflects the care, precision, and passion we bring to every treatment.
Why Patients Choose Us
Our practice is built around trust, comfort, and real connection. We take our time, use technology that makes care easier, and treat you the way we’d want to be treated.
Restorative Dentistry

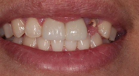
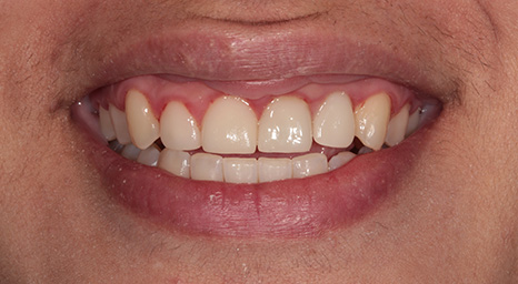
KöR Whitening & Restorative

KöR Whitening & Implant

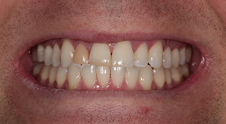
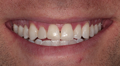
Crowns Veneers and Implants

KöR Whitening

Tooth Implant
































Seattle’s Trusted Dentist
Dr. Bryan Brenner is known for creating a welcoming, comfortable environment where patients feel at ease. His goal is to help every patient enjoy a healthy smile they’re proud to show off.
Dr. Brenner’s approach is gentle, thoughtful, and rooted in connection. He takes time to understand each patient’s needs and concerns, especially when anxiety or past experiences have made dental visits difficult. As part of the Queen Anne community, he values the trust patients place in him and works to earn it at every visit.










